
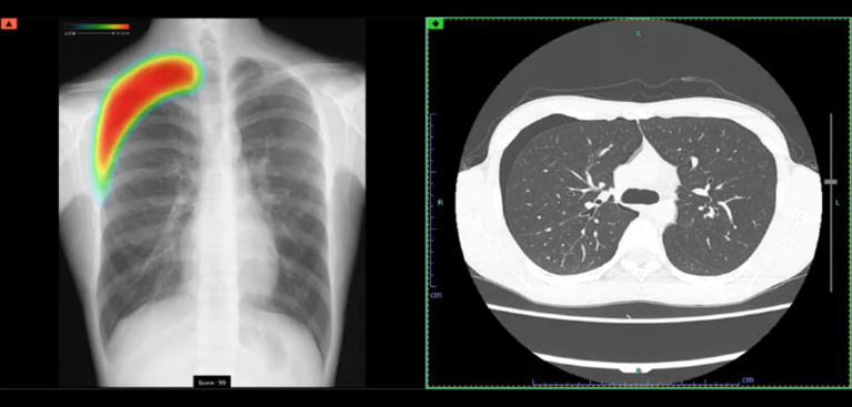
AI診断システムCXR-AID(富士フィルム社)を導入しております。胸部レントゲン画像をAIによって解析し、結節や腫瘤陰影・浸潤影(炎症)・気胸などが疑われる場合、色付けによって表示されます。これにより医師とAIのダブルチェックが可能となり見落としのリスク軽減・初期段階でキャッチできるなどのメリットがあります。
CXR-AIDは、AIが胸部の画像を数十秒で読み取り、気になる可能性のある部分をマークして表示します。医師はAIが示した箇所を確認しながら診断を行うため、見落としが少なく、より正確な診断につながります。AIと医師が一緒にチェックすることで、病気を早めに見つけられる体制を整えています。
検出対象となるのは、主要な肺疾患に関連する画像所見である「結節・腫瘤影」、「浸潤影」、および「気胸」の3つです。



0~100に分けられた確信度スコアの最大値が数値として表示されます。

胸部レントゲン所見のスコア値は、数値が高いほど「治療が必要かもしれない病変」の可能性が高くなります。そのため、スコア値が高い場合には胸部CTによる詳しい検査を受けていただくことがあります。
胸部レントゲン所見のスコア値が低い場合、血管や骨、過去の炎症による瘢痕など、問題がなく治療も必要ない所見の可能性が高くなります。この場合は精密検査の必要はありません。
胸部レントゲン所見のスコア値が中間である場合、治療が必要かどうかの判断が難しい状態です。中間の数値が出た場合には、1~数ヶ月後に再度の胸部レントゲン撮影を行い、スコア値に変化がないかを確かめます。スコア値が増えている場合には治療を必要とする病変の可能性が高くなります。
胸部レントゲンAI診断システムは現在、富士フイルム社を含め数社から提供されています。ただし、富士フイルム社のAI診断システムCXR-AID以外のシステムにはスコア値測定機能がありません。スコア値測定機能は、1回の検査による精密精査の必要性だけでなく、経過観察によるスコア値の変化による検査の必要性の判断も可能になり、早期発見につながります。
ご予約・ご相談などお気軽にお問い合わせください。